In recent years, MathWork's MATLAB added Python support. This unlocks the capabilities of the powerful open source scientific Python ecosystem inside MATLAB. This post provides a tutorial on how to use Insight Toolkit (ITK) version 5.3 and newer and itkwasm Python packages in MATLAB.
ITK is an open-source, cross-platform library that provides developers with an extensive suite of software tools for image analysis. Developed through extreme programming methodologies, ITK builds on a proven, spatially-oriented architecture for processing, segmentation, and registration of scientific images in two, three, or more dimensions.
To interactively reproduce this tutorial, run the corresponding MATLAB Live Script (source, html).
This section walks through how to install the itk Python package into the PythonEnvironment available in the MATLAB Online environment.
In general, you can install itk into your local Python environment by simply calling:
!python -m pip install itk
Since MATLAB Online uses Linux, we will use python3 to specify the MATLAB Python version. On Windows, you may want to specify a version with'Version', '3.10'or similar. For more information, see the pyenv documentation.
pyenv("Version","python3")
ans =
PythonEnvironment with properties:
Version: "3.8"
Executable: "/usr/bin/python3"
Library: "libpython3.8.so.1.0"
Home: "/usr"
Status: Loaded
ExecutionMode: InProcess
ProcessID: "5004"
ProcessName: "MATLAB"
Next, we will Install itk via the Python package manager, pip. A standard Linux Python distribution is unusal in that it does not ship with pip, so we will download a self-contained version in this example.
websave("pip.pyz", "https://bootstrap.pypa.io/pip/pip.pyz");
For MATLAB Online, install the package into set the user packages and the setuptools package.
!python3 pip.pyz install --user itk setuptools
Collecting itk
Downloading itk-5.3.0-cp38-cp38-manylinux2014_x86_64.manylinux_2_17_x86_64.whl (8.3 kB)
Collecting setuptools
Downloading setuptools-67.4.0-py3-none-any.whl (1.1 MB)
━━━━━━━━━━━━━━━━━━━━━━━━━━━━━━━━━━━━━━━━ 1.1/1.1 MB 80.0 MB/s eta 0:00:00
Collecting numpy
Downloading numpy-1.24.2-cp38-cp38-manylinux_2_17_x86_64.manylinux2014_x86_64.whl (17.3 MB)
━━━━━━━━━━━━━━━━━━━━━━━━━━━━━━━━━━━━━━━ 17.3/17.3 MB 109.4 MB/s eta 0:00:00
Collecting itk-filtering==5.3.0
Downloading itk_filtering-5.3.0-cp38-cp38-manylinux_2_17_x86_64.manylinux2014_x86_64.whl (75.9 MB)
━━━━━━━━━━━━━━━━━━━━━━━━━━━━━━━━━━━━━━━━ 75.9/75.9 MB 39.0 MB/s eta 0:00:00
Collecting itk-registration==5.3.0
Downloading itk_registration-5.3.0-cp38-cp38-manylinux_2_17_x86_64.manylinux2014_x86_64.whl (27.3 MB)
━━━━━━━━━━━━━━━━━━━━━━━━━━━━━━━━━━━━━━━━ 27.3/27.3 MB 84.0 MB/s eta 0:00:00
Collecting itk-io==5.3.0
Downloading itk_io-5.3.0-cp38-cp38-manylinux_2_17_x86_64.manylinux2014_x86_64.whl (26.2 MB)
━━━━━━━━━━━━━━━━━━━━━━━━━━━━━━━━━━━━━━━━ 26.2/26.2 MB 73.7 MB/s eta 0:00:00
Collecting itk-numerics==5.3.0
Downloading itk_numerics-5.3.0-cp38-cp38-manylinux_2_17_x86_64.manylinux2014_x86_64.whl (60.0 MB)
━━━━━━━━━━━━━━━━━━━━━━━━━━━━━━━━━━━━━━━━ 60.0/60.0 MB 48.3 MB/s eta 0:00:00
Collecting itk-core==5.3.0
Downloading itk_core-5.3.0-cp38-cp38-manylinux_2_17_x86_64.manylinux2014_x86_64.whl (83.6 MB)
━━━━━━━━━━━━━━━━━━━━━━━━━━━━━━━━━━━━━━━━ 83.6/83.6 MB 35.1 MB/s eta 0:00:00
Collecting itk-segmentation==5.3.0
Downloading itk_segmentation-5.3.0-cp38-cp38-manylinux_2_17_x86_64.manylinux2014_x86_64.whl (17.2 MB)
━━━━━━━━━━━━━━━━━━━━━━━━━━━━━━━━━━━━━━━ 17.2/17.2 MB 106.7 MB/s eta 0:00:00
Installing collected packages: setuptools, numpy, itk-core, itk-numerics, itk-io, itk-filtering, itk-segmentation, itk-registration, itk
WARNING: The scripts f2py, f2py3 and f2py3.8 are installed in '/home/mluser/.local/bin' which is not on PATH.
Consider adding this directory to PATH or, if you prefer to suppress this warning, use --no-warn-script-location.
Successfully installed itk-5.3.0 itk-core-5.3.0 itk-filtering-5.3.0 itk-io-5.3.0 itk-numerics-5.3.0 itk-registration-5.3.0 itk-segmentation-5.3.0 numpy-1.24.2 setuptools-67.4.0
For MATLAB Online, we need to add the user site packages to sys.path so Python will find them.
usp = py.site.getusersitepackages();
pyrun(["import sys", "if usp not in sys.path: sys.path.append(usp)"], usp=usp);
py.sys.path;
If the Python interpreter has already been started, we would need to manually import the Python package for MATLAB.
Again, these steps are unnecessary for local installations where the itk Python package is simply installed before starting MATLAB.
In this section, we will show how to load an image with ITK and display it with MATLAB.
% download a test image
websave("cthead1.png", "https://bafybeigja4wbultavomsvai433hln7uqabzl2mg24frxzqblx4y4cvd5am.ipfs.w3s.link/ipfs/bafybeigja4wbultavomsvai433hln7uqabzl2mg24frxzqblx4y4cvd5am/cthead1.png");
% load the image with itk
pyrun(["import itk", "image = itk.imread('cthead1.png')"])
% transfer python dict to matlab
image_dict = pyrun(["image_dict = itk.dict_from_image(image)"], "image_dict")
image_dict =
Python dict with no properties.
{'imageType': {'dimension': 2, 'componentType': 'uint8', 'pixelType': 'Scalar', 'components': 1}, 'name': '', 'origin': (0.0, 0.0), 'spacing': (1.0, 1.0), 'size': (256, 256), 'direction': array([[1., 0.],
[0., 1.]]), 'data': array([[0, 0, 0, ..., 0, 0, 0],
[0, 0, 0, ..., 0, 0, 0],
[0, 0, 0, ..., 0, 0, 0],
...,
[0, 0, 0, ..., 0, 0, 0],
[0, 0, 0, ..., 0, 0, 0],
[0, 0, 0, ..., 0, 0, 0]], dtype=uint8)}
% matlab struct
image_struct = struct(image_dict)
image_struct =
imageType: [1x1 py.dict]
name: [1x0 py.str]
origin: [1x2 py.tuple]
spacing: [1x2 py.tuple]
size: [1x2 py.tuple]
direction: [1x1 py.numpy.ndarray]
data: [1x1 py.numpy.ndarray]
spacing = double(image_struct.spacing)
spacing = 1x2
1 1
% equivalent
spacing = double(image_dict{'spacing'})
spacing = 1x2
1 1
pixels = double(image_struct.data);
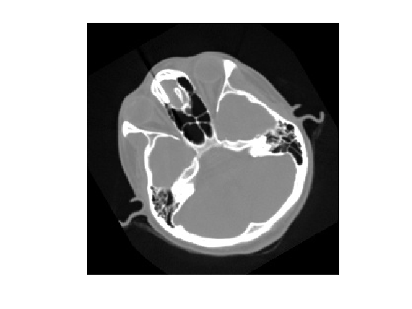
imshow(pixels, [0, 255])
image_dict{'imageType'}
ans =
Python dict with no properties.
{'dimension': 2, 'componentType': 'uint8', 'pixelType': 'Scalar', 'components': 1}
% Keep pixel type
pixels = uint8(image_struct.data);
imshow(pixels)
In this section, we will show how to load an image with MATLAB and transfer it to ITK.
pixels = imread("cthead1.png")
Warning: PNG library warning: sCAL: invalid unit.
pixels = 256x256 uint8 matrix
0 0 0 0 0 0 0 0 0 0 0 0 0 0 0 0 0 0 0 0 0 0 0 0 0 0 0 0 0 0 0 0 0 0 0 0 0 0 0 0 0 0 0 0 0 0 0 0 0 0
0 0 0 0 0 0 0 0 0 0 0 0 0 0 0 0 0 0 0 0 0 0 0 0 0 0 0 0 0 0 0 0 0 0 0 0 0 0 0 0 0 0 0 0 0 0 0 0 0 0
0 0 0 0 0 0 0 0 0 0 0 0 0 0 0 0 0 0 0 0 0 0 0 0 0 0 0 0 0 0 0 0 0 0 0 0 0 0 0 0 0 0 0 0 0 0 0 0 0 0
0 0 0 0 0 0 0 0 0 0 0 0 0 0 0 0 0 0 0 0 0 0 0 0 0 0 0 0 0 0 0 0 0 0 0 0 0 0 0 0 0 0 0 0 0 0 0 0 0 0
0 0 0 0 0 0 0 0 0 0 0 0 0 0 0 0 0 0 0 0 0 0 0 0 0 0 0 0 0 0 0 0 0 0 0 0 0 0 0 0 0 0 0 0 0 0 0 0 0 0
0 0 0 0 0 0 0 0 0 0 0 0 0 0 0 0 0 0 0 0 0 0 0 0 0 0 0 0 0 0 0 0 0 0 0 0 0 0 0 0 0 0 0 0 0 0 0 0 0 0
0 0 0 0 0 0 0 0 0 0 0 0 0 0 0 0 0 0 0 0 0 0 0 0 0 0 0 0 0 0 0 0 0 0 0 0 0 0 0 0 0 0 0 0 0 0 0 0 0 0
0 0 0 0 0 0 0 0 0 0 0 0 0 0 0 0 0 0 0 0 0 0 0 0 0 0 0 0 0 0 0 0 0 0 0 0 0 0 0 0 0 0 0 0 0 0 0 0 0 0
0 0 0 0 0 0 0 0 0 0 0 0 0 0 0 0 0 0 0 0 0 0 0 0 0 0 0 0 0 0 0 0 0 0 0 0 0 0 0 0 0 0 0 0 0 0 0 0 0 0
0 0 0 0 0 0 0 0 0 0 0 0 0 0 0 0 0 0 0 0 0 0 0 0 0 0 0 0 0 0 0 0 0 0 0 0 0 0 0 0 0 0 0 0 0 0 0 0 0 0
pyrun(["import numpy as np", "array = np.asarray(pixels)"], pixels=pixels)
pyrun(["image = itk.image_view_from_array(array)", "print(image)"])
Image (0x7f3aec3261e0)
RTTI typeinfo: itk::Image<unsigned char, 2u>
Reference Count: 1
Modified Time: 402
Debug: Off
Object Name:
Observers:
none
Source: (none)
Source output name: (none)
Release Data: Off
Data Released: False
Global Release Data: Off
PipelineMTime: 0
UpdateMTime: 0
RealTimeStamp: 0 seconds
LargestPossibleRegion:
Dimension: 2
Index: [0, 0]
Size: [256, 256]
BufferedRegion:
Dimension: 2
Index: [0, 0]
Size: [256, 256]
RequestedRegion:
Dimension: 2
Index: [0, 0]
Size: [256, 256]
Spacing: [1, 1]
Origin: [0, 0]
Direction:
1 0
0 1
IndexToPointMatrix:
1 0
0 1
PointToIndexMatrix:
1 0
0 1
Inverse Direction:
1 0
0 1
PixelContainer:
ImportImageContainer (0x7f3aec3219f0)
RTTI typeinfo: itk::ImportImageContainer<unsigned long, unsigned char>
Reference Count: 1
Modified Time: 397
Debug: Off
Object Name:
Observers:
none
Pointer: 0x7f3aec2a0d80
Container manages memory: false
Size: 65536
Capacity: 65536
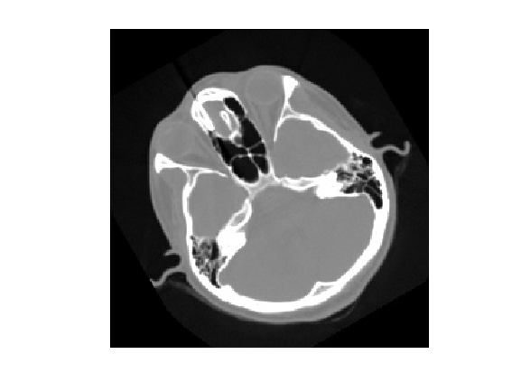
Let's call an itk filter and look at the result.
pyrun(["smoothed = itk.discrete_gaussian_image_filter(image, sigma=sigma)"], sigma=3.0);
smoothed = pyrun(["smoothed = itk.dict_from_image(smoothed)"], "smoothed");
imshow(uint8(smoothed{"data"}))
% equivalent
smoothed = py.itk.discrete_gaussian_image_filter(py.itk.image_from_dict(image_dict), sigma=3.0);
smoothed = py.itk.dict_from_image(smoothed);
imshow(uint8(smoothed{"data"}))
ITK supports other data structures beyond images, including Mesh's, PointSet's, and spatial Transform's.
websave("cow.vtk", "https://bafybeihqh2e2xyff5fzwygx4m2lmgqmnm3kv7gyzjgtcgv7kpfvvjy4rty.ipfs.w3s.link/ipfs/bafybeihqh2e2xyff5fzwygx4m2lmgqmnm3kv7gyzjgtcgv7kpfvvjy4rty/cow.vtk");
% load the mesh with itk
% pyrun(["mesh = itk.meshread('cow.vtk')"])
mesh = py.itk.meshread("cow.vtk")
mesh =
Python itkMeshF3 with properties:
thisown: 1
this: [1x1 py.SwigPyObject]
Mesh (0x7f3aee68b400)
RTTI typeinfo: itk::Mesh<float, 3u, itk::DefaultStaticMeshTraits<float, 3u, 3u, float, float, float> >
Reference Count: 1
Modified Time: 10117
Debug: Off
Object Name:
Observers:
none
Source: (none)
Source output name: (none)
Release Data: Off
Data Released: False
Global Release Data: Off
PipelineMTime: 669
UpdateMTime: 10116
RealTimeStamp: 0 seconds
Number Of Points: 2903
Requested Number Of Regions: 1
Requested Region: 0
Buffered Region: 0
Maximum Number Of Regions: 1
Point Data Container pointer: 0
Size of Point Data Container: 0
Number Of Points: 2903
Number Of Cell Links: 0
Number Of Cells: 3263
Cell Data Container pointer: 0
Size of Cell Data Container: 0
Number of explicit cell boundary assignments: 3
CellsAllocationMethod: itk::MeshEnums::MeshClassCellsAllocationMethod::CellsAllocatedDynamicallyCellByCell
% transfer python dict to matlab
mesh_dict = py.itk.dict_from_mesh(mesh)
mesh_dict =
Python dict with no properties.
{'meshType': {'dimension': 3, 'pointComponentType': 'float32', 'pointPixelComponentType': 'float32', 'pointPixelType': 'Scalar', 'pointPixelComponents': 1, 'cellComponentType': 'uint64', 'cellPixelComponentType': 'float32', 'cellPixelType': 'Scalar', 'cellPixelComponents': 1}, 'name': '', 'numberOfPoints': 2903, 'points': array([3.71636 , 2.34339 , 0. , ..., 4.23234 , 1.90308 , 0.534362],
dtype=float32), 'numberOfPointPixels': 0, 'pointData': array([], dtype=float32), 'numberOfCells': 3263, 'cells': array([ 4, 4, 250, ..., 966, 961, 970], dtype=uint64), 'numberOfCellPixels': 0, 'cellData': array([], dtype=float32), 'cellBufferSize': 18856}
% x,y,z point positions
points = double(mesh_dict{"points"})
points = 1x8709
3.7164 2.3434 0 4.1266 0.6420 0 3.4550 2.1699 0 3.9293 0.4117 0 3.2474 2.0733 0 3.7317 0.1864 0 2.9854 1.9827 0 3.4860 -0.1417 0 2.7235 1.8988 0 3.3352 -0.3758 0 2.3396 1.8077 0 3.1181 -0.7039 0 2.1281 1.7884 0 2.0422 1.7772 0 1.4567 1.7859 0 2.9709 -0.9597 0 2.9318 -1.1297
In addition to native Python packages, itkwasm Python packages can be used, which leverage universal WebAssembly binaries.
Calls are similar, but we use Python's builtin dataclasses.asdict for conversion.
!python3 pip.pyz install --user itkwasm
Collecting itkwasm
Downloading itkwasm-1.0b74-py3-none-any.whl (18 kB)
Collecting wasmer
Downloading wasmer-1.1.0-cp38-cp38-manylinux_2_24_x86_64.whl (1.6 MB)
━━━━━━━━━━━━━━━━━━━━━━━━━━━━━━━━━━━━━━━━ 1.6/1.6 MB 89.3 MB/s eta 0:00:00
Requirement already satisfied: numpy in /home/mluser/.local/lib/python3.8/site-packages (from itkwasm) (1.24.2)
Collecting wasmer-compiler-cranelift
Downloading wasmer_compiler_cranelift-1.1.0-cp38-cp38-manylinux_2_24_x86_64.whl (1.9 MB)
━━━━━━━━━━━━━━━━━━━━━━━━━━━━━━━━━━━━━━━━ 1.9/1.9 MB 115.2 MB/s eta 0:00:00
Collecting typing-extensions
Downloading typing_extensions-4.5.0-py3-none-any.whl (27 kB)
Installing collected packages: wasmer-compiler-cranelift, wasmer, typing-extensions, itkwasm
Successfully installed itkwasm-1.0b74 typing-extensions-4.5.0 wasmer-1.1.0 wasmer-compiler-cranelift-1.1.0
itk_image = py.itk.imread("cthead1.png");
itk_image_dict = py.itk.dict_from_image(itk_image)
itk_image_dict =
Python dict with no properties.
{'imageType': {'dimension': 2, 'componentType': 'uint8', 'pixelType': 'Scalar', 'components': 1}, 'name': '', 'origin': (0.0, 0.0), 'spacing': (1.0, 1.0), 'size': (256, 256), 'direction': array([[1., 0.],
[0., 1.]]), 'data': array([[0, 0, 0, ..., 0, 0, 0],
[0, 0, 0, ..., 0, 0, 0],
[0, 0, 0, ..., 0, 0, 0],
...,
[0, 0, 0, ..., 0, 0, 0],
[0, 0, 0, ..., 0, 0, 0],
[0, 0, 0, ..., 0, 0, 0]], dtype=uint8)}
itkwasm_image = pyrun(["from itkwasm import Image", "itkwasm_image = Image(**itk_image_dict)"], "itkwasm_image", itk_image_dict=itk_image_dict)
itkwasm_image =
Python Image with properties:
data: [1x1 py.numpy.ndarray]
size: [1x2 py.tuple]
origin: [1x2 py.tuple]
imageType: [1x1 py.itkwasm.image.ImageType]
name: [1x0 py.str]
spacing: [1x2 py.tuple]
metadata: [1x1 py.dict]
direction: [1x1 py.numpy.ndarray]
Image(imageType=ImageType(dimension=2, componentType='uint8', pixelType='Scalar', components=1), name='', origin=(0.0, 0.0), spacing=(1.0, 1.0), direction=array([[1., 0.],
[0., 1.]]), size=(256, 256), metadata={}, data=array([[0, 0, 0, ..., 0, 0, 0],
[0, 0, 0, ..., 0, 0, 0],
[0, 0, 0, ..., 0, 0, 0],
...,
[0, 0, 0, ..., 0, 0, 0],
[0, 0, 0, ..., 0, 0, 0],
[0, 0, 0, ..., 0, 0, 0]], dtype=uint8))
itkwasm_image_dict = py.dataclasses.asdict(itkwasm_image)
itkwasm_image_dict =
Python dict with no properties.
{'imageType': {'dimension': 2, 'componentType': 'uint8', 'pixelType': 'Scalar', 'components': 1}, 'name': '', 'origin': (0.0, 0.0), 'spacing': (1.0, 1.0), 'direction': array([[1., 0.],
[0., 1.]]), 'size': (256, 256), 'metadata': {}, 'data': array([[0, 0, 0, ..., 0, 0, 0],
[0, 0, 0, ..., 0, 0, 0],
[0, 0, 0, ..., 0, 0, 0],
...,
[0, 0, 0, ..., 0, 0, 0],
[0, 0, 0, ..., 0, 0, 0],
[0, 0, 0, ..., 0, 0, 0]], dtype=uint8)}
imshow(uint8(itkwasm_image_dict{"data"}))
Enjoy ITK!





