Skip to content

Slicer/SlicerRegistrationLibrary

Folders and files

NameName
Last commit message
Last commit date

Latest commit

 

History

2 Commits
 
 
 
 

Repository files navigation

SlicerRegistrationLibrary

Library of registration cases including step-by-step instructions and discussions

Slicer Registration FAQ : answers to the most common questions/problems, including cookbook recipes for common registration steps. Slicer Registration Training Videos: brief videos/screencasts showing step-by-step approaches to the most common tasks.
Slicer Resampling Overview a summary of how 3DSlicer handles transforms and how image resampling is performed.

ID Description (click on image to access case page) Structure/Pathology Type of Registration Modality Download
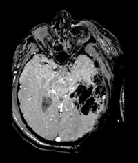
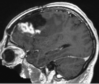
1 RegLib C01: MR Meningioma\ 200x143 Align baseline MR of meningioma with follow-up. brain / tumor rigid+ affine MRI RegLib_C01.mrb (input data only , Slicer mrb file. 13 MB)
2 RegLib C02: MR Meningioma\ 200x200 Align MRI FLAIR with lesion segmentation to T1 multiple sclerosis affine MRI RegLib_C02.mrb (input data only , Slicer mrb file. 19 MB) RegLib_C02_full.mrb (input data + results, Slicer mrb file. 19 MB).
3 RegLib C03: DTI alignment\ 200x262 Align DTI volume with structural reference scan (T2) brain / tumor affine + nonrigid DTI RegLib_C03.mrb (input data only , Slicer mrb file. 50 MB) RegLib_C03_full.mrb(input data + results, Slicer mrb file. 108 MB).
4 RegLib C04: MS longitudinal+multispectral\ 200x244 Align both intra- and inter-exam MRI of a single subject. brain / multiple sclerosis affine MRI RegLib_C04.mrb (input data only , Slicer mrb file. 19 MB) RegLib_C04_full.mrb (input data + results, Slicer mrb file. 19 MB).
6 RegLib C06: Breast MRI pre/post\ 200x208 Align pre- and post-Rx breast MRI breast / cancer affine+nonrigid MRI RegLib_C06.mrb (input data only , Slicer mrb file. 40 MB) RegLib_C06_full.mrb (input data + results, Slicer mrb file. 65 MB).
7 RegLib C07: Prostate MRI pre/post\ 200x199 Align baseline and follow-up prostate MRI prostate / cancer affine+nonrigid MRI RegLib_C07.mrb (input data only , Slicer mrb file. 8 MB) RegLib_C07_full.mrb (input data + results, Slicer mrb file. 27 MB).
8 RegLib C08: abdominal PET-CT pre/post\ 200x199 Align baseline and follow-up PET/CT pairs affine+nonrigid PET CT RegLib_C08.mrb (input data only , Slicer mrb file. 8 MB) RegLib_C08_full.mrb (input data + results, Slicer mrb file. 27 MB).
9 RegLib C09: fMRI to T1\ 200x195 Align fMRI with structural MRI brain rigid+nonrigid MRI RegLib_C09.mrb (input data only , Slicer mrb file. 40 MB) RegLib_C09_full.mrb (input data + results, Slicer mrb file. 182 MB).
10 RegLib C10: Atlas to T1\ 200x211 Align probabilistic/group atlas with T1 brain rigid+nonrigid MRI RegLib_C10.mrb (input data only , Slicer mrb file. 12 MB) RegLib_C10_full.mrb (input data + results, Slicer mrb file. 50 MB).
12 RegLib C12: Abdominal MR-CT\ 200x164 Align abdominal MRI with CT liver/ tumor affine + nonrigid CT RegLib_C12.mrb (input data only , Slicer mrb file. 35 MB) RegLib_C12_full.mrb (input data + results, Slicer mrb file. 68 MB).
14 RegLib C14: MR-PET\ 200x185 Align brain PET with low-res MRI brain affine + nonrigid CT RegLib_C14.mrb (input data only , Slicer mrb file. 9 MB) RegLib_C14_full.mrb (input data + results, Slicer mrb file. 22 MB).
15 RegLib C15: AC-PC\ 200x150 AC-PC alignment of brain MRI brain affine + nonrigid CT RegLib_C15.mrb (input data only (incl. example fiducials) , Slicer mrb file. 22 MB) RegLib_C15_full.mrb (input data + results, Slicer mrb file. 22 MB).
17 RegLib C17: Abdominal MR-CT\ 200x187 Preop MRI to intraop interventional CT abdominal affine CT RegLib_C17.mrb (input data only (incl. example fiducials) , Slicer mrb file. 10 MB) RegLib_C17_full.mrb (input data + results, Slicer mrb file. 12 MB).
20 RegLib C20 Thumb1.png\ 200x155 Alignment of PET/CT follow-up to baseline full body rigid + affine + nonrigid PET/CT RegLib_C20.mrb (input data only , Slicer mrb file. 76 MB) RegLib_C20_full.mrb (input data + results, Slicer mrb file. 171 MB).
21 RegLib C21 Thumb1.png\ 200x183 Alignment of knee MRI (2 different subjects) knee rigid + affine + nonrigid MRI RegLib_C21.mrb (input data + results, Slicer mrb file. 12 MB).
27 RegLib C27 Thumb4.png\ 200x200 Alignment of DTI scan to structural reference T1-SPGR for surgical planning (tumor resection) brain / tumor affine + nonrigid DTI RegLib_C27.mrb (input data, Slicer mrb file 50MB) RegLib_C27_full.mrb (input data + results, Slicer mrb file 114MB)
29 RegLib C29 Thumb.png\ 200x273 Alignment of DTI scan to structural reference T2/T1-SPGR for surgical planning (tumor resection) brain / tumor affine + nonrigid DTI RegLib_C29_raw.mrb (input data, Slicer mrb file. 71 MB). RegLib_C29_full.mrb (input data+results, Slicer mrb file. 124 MB).
32 RegLib C32 Thumb4.png\ 200x254 Alignment of structural reference T1 to a DTI scan brain affine + nonrigid DTI RegLib_C32.mrb (input data, Slicer mrb file. 31 MB). RegLib_C32_full.mrb (input data+results, Slicer mrb file. 36 MB).
37 UnderConstruction.png\ 40x40 RegLib C37: tumor resection\ 200x171 brain tumor resection brain non-rigid MRI RegLib_C37.mrb (input data only, Slicer mrb file. 12 MB) RegLib_C7_full.mrb (input data + results, Slicer mrb file. 36 MB).
38 RegLib C38 Thumb5.png\ 200x236 Alignment of multi-sequence MRI traumatic brain injury (TBI) rigid MRI RegLib_C38.mrb (input data, Slicer mrb file. 42 MB).
39 RegLib C39: in vitro CT of human vertebra\ 200x184 in vitro CT of human vertebra before and after structural damage vertebra rigid CT RegLib_C39.mrb (input data only, Slicer mrb file. 25 MB) RegLib_C39_full.mrb (input data + results, Slicer mrb file. 45 MB).
40 RegLib C40: micro CT of material sample\ 200x140 register micro-CT of wood sample to quantify/model structural changes wood sample non-rigid micro-CT RegLib_C40.mrb (input data only, Slicer mrb file. 32 MB) RegLib_C40_full.mrb (input data + results, Slicer mrb file. 100 MB).
41 RegLib C41: mouse brain MRI\ 200x295 Align two distinct mouse brain MRIs mouse brain non-rigid MRI RegLib_C41.mrb (input data only, Slicer mrb file. 32 MB) RegLib_C41_full.mrb (input data + results, Slicer mrb file. 100 MB).
42 RegLib C42: pediatric MRI\ 200x209 autism / brain non-rigid MRI RegLib_C42.mrb (input data only, Slicer mrb file. 12 MB) RegLib_C42_full.mrb (input data + results, Slicer mrb file. 36 MB).
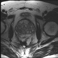
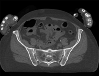
44 RegLib C44: pelvic MRI\ 200x154 pelvis abdominal non-rigid MRI RegLib_C44.mrb (input data only, Slicer mrb file. 74 MB) RegLib_C44_full.mrb (input data + results, Slicer mrb file. 82 MB).
46 RegLib C46: 2D cine MRI of breathing cycle\ 200x216 2D cine MRI of breathing cycle abdominal non-rigid 2D, batch processing MRI RegLib_C46.mrb (input data (ref + 1 slice only), Slicer mrb file. 0.6 MB) RegLib_C46_Data.zip (input data + results, zip file with original DICOM + registration script. 65 MB).
48 RegLib C48: Fiducial Registration of Abdominal MR-CT\ 200x190 Preop MRI to intraop interventional CT abdominal Fiducial-based rigid CT RegLib_C48.mrb (input data only (incl. example fiducials) , Slicer mrb file. 10 MB) RegLib_C48_full.mrb (input data + results, Slicer mrb file. 12 MB).
49 RegLib C49: Pediatric Brain MR-DTI\ 200x170 Pediatric Brain MR-DTI brain affine + BSpline MRI RegLib_C49.mrb (input data only (incl. example fiducials) , Slicer mrb file. 50 MB) RegLib_C49_full.mrb (input data + results, Slicer mrb file. 82 MB).
50 RegLib C50: Mouse CT\ 200x141 mouse brain micro-CT mouse brain affine + BSpline micro-CT RegLib_C50.mrb (input data only (incl. example fiducials) , Slicer mrb file. 50 MB) RegLib_C50_full.mrb (input data + results, Slicer mrb file. 82 MB).

About

Library of registration cases including step-by-step instructions and discussions

Topics

Resources

License

Stars

Watchers

Forks

Releases

No releases published

Contributors 2

  •  
  •